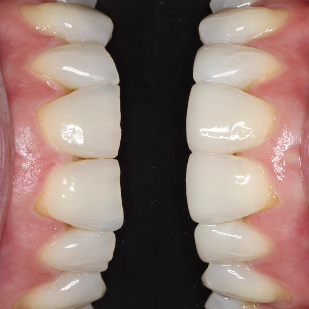
Balham Composite Bonding Treatment
Composite bonding is a popular and versatile dental treatment at the Dentist Balham, designed to enhance the appearance of your smile.
Book your free consultation now!
What Is Composite Bonding?
Composite bonding, also known as dental bonding, involves applying a tooth-coloured resin material to your teeth. This resin is carefully sculpted onto the tooth’s surface and then hardened with a special light. Finally, it’s polished to blend seamlessly with the surrounding teeth, creating a natural and appealing look.
This minimally invasive procedure can be completed in just one visit, making it a convenient option for those looking to improve their smile without the time commitment required for more extensive treatments.

How Can Composite Bonding Benefit You?
At The Dentist Balham, we believe everyone deserves a smile they can be proud of. Composite bonding is just one of the many ways we can help you achieve that. Our experienced team is dedicated to providing personalised care, ensuring that your treatment plan meets your unique needs and goals.
Ready to transform your smile with composite bonding? Contact us today to schedule your consultation. Let us help you take the first step towards a more confident and radiant smile!
What Our Patients Are Saying
We are extremely proud of our family-run Balham dentist. We have happily helped thousands of patients gain their perfect smile. What really makes us smile is seeing the confidence of our patients. We would love to add you to the list!
